Viele Hersteller werben damit, dass sie Equipment für einen vollständig digitalen Arbeitsablauf zur Herstellung von indirekten Restaurationen anbieten. Von der Abdrucknahme bis zur fertigen Versorgung könne jeder Arbeitsschritt computergestützt erfolgen. Dies ist zwar tatsächlich je nach Indikation realisierbar, jedoch nicht in jedem Fall sinnvoll. Um sicherzustellen, dass die höchstmögliche Präzision erzielt wird und der Patient bestmöglich versorgt werden kann, sollte für jeden Patientenfall individuell entschieden werden, inwiefern digitale Technologien hilfreich sein können:
Berücksichtigt werden muss dabei, welche CAD/CAM-Systeme beziehungsweise Komponenten dem Behandlungsteam zur Verfügung stehen und wo deren Stärken und Schwächen liegen. Auch die Kombination konventioneller und virtueller Arbeitsschritte sollte in Erwägung gezogen werden, wenn sich dies positiv auf die Qualität der geplanten Versorgung auswirken kann.
Ein Beispiel der durchdachten Kombination digitaler und konventioneller Arbeitsschritte innerhalb eines Arbeitsprozesses wird anhand des folgenden Patientenfalls präsentiert.
Fallbeispiel
Ein 50-jähriger Patient stellte sich in der Praxis für Privatzahnheilkunde Dr. Sörgel, Dr. Sondermeier und Dr. Butz in München mit einer insuffizienten metallkeramischen Brücke im Frontzahnbereich des Oberkiefers vor. Der zahnlose Seitenzahnbereich (regio 14 bis 18 sowie 25 bis 28) war bisher nicht versorgt.

Der Patient äußerte den Wunsch nach einer ästhetisch ansprechenden, vollkeramischen Restauration der Frontzähne. Für die Insertion von Implantaten wären im Vorfeld aufgrund des geringen Knochenangebotes im Seitenzahnbereich aufwendige augmentative Maßnahmen notwendig gewesen, die abgelehnt wurden. Aus diesem Grund und um die Pflege zu erleichtern wurde entschieden, eine Brücke mit Gerüst aus Zirkoniumdioxid inklusive zwei distalen Geschieben computergestützt zu fertigen und diese mit einer konventionell hergestellten Modellgussprothese zu kombinieren.
Nach eigenen Erfahrungen sind alle bisher verfügbaren Verfahren für den digitalen Modellguss — zu realisieren beispielsweise mit Lasersintertechnologie — nicht so präzise wie die konventionelle Technik, bei der die Passung uns in der Regel überzeugt. Bei der Herstellung von Brückengerüsten hingegen ist der Frästechnik nach unserer Ansicht der Vorzug zu geben, sodass beide Verfahren zum Einsatz kommen
sollten. Zudem wurde entschieden, auch bei der Abdrucknahme digitale und konventionelle Verfahren zu kombinieren, um das Beste aus beiden Welten zu erhalten: eine hochpräzise Wiedergabe der präparierten Zähne am Bildschirm sowie später auf dem Kunststoffmodell und ein exaktes Abbild vor allem des Gaumens auf dem Gipsmodell.
Digitale Abformung
Der Zahnarzt Dr. Martin Butz entschied, für die Herstellung des Brückengerüstes eine Abformung mit dem Intraoralscanner Cadent iTero (Cadent, US- San Jose) durchzuführen. Hierzu wurden die Zähne zunächst nach den für vollkeramische Restaurationen geltenden Richtlinien präpariert (Abb. I). Für eine exakte Aufnahme mit dem Intraoralscanner ist es nämlich ebenso wie für die Konstruktion und Fertigung
bedeutsam, die Präparationsgrenzen deutlich herauszuarbeiten und gleichmäßig zu gestalten. Scharfe Kanten an den Innenflächen und unter sich gehende Bereiche sollten zudem vermieden werden, da sie weder korrekt gescannt noch erfolgreich gefräst werden können. Anschließend wurde der Patient mit einem Kunststoffprovisorium versorgt.
Für die digitale Abdrucknahme wurde das Provisorium entfernt und in der Mitte geteilt. Unter Anwendung der Doppelfadentechnik wurde eine ausreichende Retraktion der Gingiva erzielt, die sicherstellt, dass das optische System des Scanners alle für die Berechnung eines dreidimensionalen Modells notwendigen Informationen inklusive der Lage der Präparationsgrenze aufnehmen kann. Anschließend wurde eine Hälfte des Provisoriums zur Sicherung der ursprünglichen Bisslage wieder eingesetzt und
die Zahnreihen in Okklusion gescannt. Diese digitale Bissregistrierung erfolgte von beiden Seiten bei jeweils einseitig eingesetztem Provisorium.
Danach wurden die temporäre Versorgung sowie der obere Faden entfernt und die präparierten Zähne abgeformt. Hierzu wird eine Einweghülse auf die Spitze der Aufnahmeeinheit gesetzt und — ohne vorherigen Auftrag von Puder — das Handstück des
Scanners über die Zahnreihen geführt. Das optische System wurde so entwickelt, dass ein Auflegen des Handstücks auf die Zähne möglich ist, der Abstand zur Kamera ist auch dann noch ausreichend. Die Ein- zelaufnahmen, die automatisch gematched werden, werden per Fußpedal ausgelöst, sodass beide Hände am Patienten eingesetzt werden können. Um sicher- zustellen, dass alle Bereiche aufgenommen werden, erscheint am Bildschirm der Arbeitsstation ein aus den erfassten Daten berechnetes Modell und audio-visuelle Signale zeigen an, wie vorzugehen ist.
Da das auf parallel-konfokaler Bildgebung basierende System auch tiefliegende Bereiche gut erfassen kann, stellen subgingivale Präparationsgrenzen kein Problem dar — sie müssen lediglich vollständig freigelegt sein. Verdrängen kann der optisch arbeitende Scanner das Weichgewebe nicht. Wie in Abbildung 2 deutlich wird, lassen sich mit Cadent iTero auch zahnlose Bereiche exakt aufnehmen und darstellen.
Nach Aufnahme des Gegenkiefers wurde ein dreidimensionales virtuelles Modell generiert.

Konstruktion und Modellherstellung
Der digitale Abdruck wurde nachfolgend an Cadent übermittelt, auf Vollständigkeit geprüft und aufbereitet. Bei diesem Vorgang werden Artefakte aufgespürt und entfernt, überflüssige Bildinformationen gelöscht und Präparationsgrenzen eingezeichnet. Der erzeugte Datensatz wird automatisch auf einem Sicherheitsserver gespeichert und zudem an das zahntechnische Labor gesendet. Dort sollten die Präparationsgrenzen in der Laborsoftware noch einmal überprüft werden — erfahrungsgemäß sind die Vorschläge jedoch äußerst exakt und Veränderungen wie im vorliegenden Fall nicht notwendig.
Die Herstellung eines Modells mit herausnehmbaren Stümpfen erfolgte im Fertigungszentrum des Unternehmens Straumann (CH-Basel) in Leipzig. Hier werden die auf Basis der gewonnenen Daten virtuell konstruierten Modelle aus Polyurethan gefräst. Dabei handelt es sich um ein Material mit hoher


Widerstandsfähigkeit. Die aus diesem Werkstoff gefrästen Modelle haben bei einem Vergleich mit anderen mittels additiven Verfahren hergestellten Modellen im Labor am besten abgeschnitten. Unter anderem zeichnen sie sich durch hohe Präzision und exakt reproduzierte Stümpfe aus, die nicht an den Kanten abgerundet erscheinen. Durch dieses Herstellungsverfahren ist es jedoch nicht möglich, den Gaumen komplett darzustellen (Abb. 5).

Zeitgleich mit der Herstellung des Modells wurde das Brückengerüst mit distalen Preciline-Geschieben im Labor konstruiert. Hierzu kam die Software DentalDesigner (3Shape, DK-Kopenhagen) zum Einsatz die Teil des CAD/CAM-Systems cara (Heraeus Kulzer, D-Hanau) ist. Nach dem Import des Intraoralscanner-Datensatzes wurde ein vollanatomischer Vorschlag durch die Software generiert und dieser anatomisch reduziert. Distal wurden dem Gerüst die zwei gewünschten Preciline-Geschiebe hinzugefügt, die als Bauteil in einer Bibliothek der CAD-Software hinterlegt sind und einfach ausgewählt werden können (Abb. 6 und 7). Nach leichten Modifikationen wie der Glättung der Oberfläche mit entsprechenden Werkzeugen wurden die verfügbaren Platzverhältnisse überprüft, um eine Verblendschicht von rund 2 mm Stärke zu ermöglichen (Abb. 8), und die Daten an Heraeus Kulzer übermittelt.



Fertigung
Im Produktionszentrum in Hanau wurde das Gerüst aus voreingefärbtem Zirkoniumdioxid (Farbe B-light) gefertigt und danach an das Labor geliefert. Hier wurden die Ränder ausgedünnt und die Geschiebe mit feinen Diamantinstrumenten ausgearbeitet. Die Passung auf dem Modell war gleich hervorragend, weitere Modifikationen waren nicht erforderlich (Abb. 9 und 10). Lediglich die Geschiebe wurden poliert, um den Grundstein für ein einfaches Einsetzen und Entnehmen der Modelgussprothese zu legen.


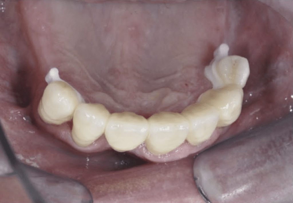
Auch bei der Einprobe im Mund bestätigte sich die hohe Genauigkeit des Gerüstes, die einen spannungsfreien Sitz auf den natürlichen Zahnstümpfen auf Anhieb ermöglichte (Abb. | I). Hier zeigt sich der Vorteil der digitalen Abformung, bei der keine materialbedingen Ungenauigkeiten z. B. durch Expansion, Schrumpfung oder Blasenbildung entstehen können. Es erfolgte eine Überabformung mit Polyether Abformmaterial (Impregum, 3M ESPE, D-Seefeld) und die Herstellung eines konventionellen Gipsmodells auf Basis dieser.

Das Gerüst wurde mit Cerabien ZR Verblendkeramik (Noritake, JP-Miyoshi), einer vollsynthetisch hergestellten Zirkoniumdioxidkeramik, verblendet (Abb. 12). Diese hat sich nach eigenen Erfahrungen als abplatzungsstabiler herausgestellt als andere Verblendkeramiken. ‚Probleme mit Chipping sind seit Verwendung dieses Materials nicht mehr aufgetreten.

Die Modellgussplatte wurde im konventionellen Verfahren gefertigt, da — wie bereits erläutert — mit diesem bisher die besten Erfahrungen hinsichtlich der Präzision des Ergebnisses gemacht wurden. Die Abbildungen 13 und 14 zeigen die Brücke mit der angehängten Modellgussplatte auf dem Gipsmodell. Für einen harmonischen Übergang und die leichte Entfernbarkeit der späteren Modellgussprothese sorgen austauschbare Matrizen an den Geschieben (Abb. 15).
Für die Herstellung der Prothese wurden VITA PHYSIODENS Kunststoffzähne (VITA Zahnfabrik, D-Bad Säckingen) und kaltpolymerisierender Prothesenkunststoff



(PalaXpress ultra, Heraeus Kulzer) verwendet (Abb. 16 und |7). Bereits auf dem Modell zeigte sich ein ästhetisches Ergebnis mit einem harmonischen Übergang von der vollkeramischen Brücke zu den Prothesenzähnen.
Eingliederung und Ergebnis
Die Brücke wurde nach der finalen Einprobe definitiv mit RelyX Unicem Selbstadhäsiver Composite-


Befestigungszement (3M ESPE, D-Seefeld) befestigt (Abb. 18). Auch die Prothese wies eine ausgezeichnete Passung auf und lag exakt sowie ohne Störstellen am Gaumen an, sodass keine umfangreichen Modifikationen notwendig waren. Der Patient ist mit dem Ergebnis auch nach drei Monaten Tragezeit sehr zufrieden (Abb. 19).
Digitale Technologien unterstützen Zahnarzt und Zahntechniker in vielen Fällen dabei, Arbeitsabläufe einfacher und effizienter zu gestalten sowie präzisere Ergebnisse zu erzielen. Es sollte jedoch vermieden werden, die vorhandenen Geräte immer und zu jedem Preis einzusetzen — vielmehr ist stets abzuwägen, ob ein Zusatznutzen für den Patienten dadurch entsteht. Wie der vorgestellte Patientenfall zeigt, lassen sich digitale und konventionelle Prozesse häufig ganz problemlos in einem Workflow vereinen, mit Resultaten, die hinsichtlich der Passgenauigkeit, Funktionalität und Ästhetik alle Patientenwünsche erfüllen.

